Dalmatiner von Caelius Mons
Dalmatiner von Caelius Mons

Deckakt und Trächtigkeit F-Wurf

16.-22. Juni 2018 (7. Woche)

Aliah ist nach wie vor topfit, möchte aber nur noch selten und wenn dann ganz kurz spielen. Am Ende der 7. Woche wurde es Gott sei Dank kühler, so dass wir auch nachmittags und nicht nur in der Früh wieder eine Runde laufen konnten, was sie sichtlich genießt, nur Steigungen strengen sie doch etwas an, kein Wunder, hat sie nun 4,5 kg mehr zu tragen. Ihr Bauchumgfang beträgt bereits 76 cm.

Die Welpenbewegungen kann man mittlerweile sehr gut spüren und wenn man genau hinschaut auch schon leicht sehen.

Aliah genießt es, stundenlang in der Sonne zu liegen, sich im Gras zu wälzen und abends auf dem Sofa eng gekuschelt an mich sich ihren Babybauch streicheln zu lassen.

Die Wurfkiste ist aufgebaut und die Laken werden auch schon kräftig für den Nestbau durchgewühlt.

10.Juni 2018 (37. Tag der Trächtigkeit)

Aliahs Bäuchlein wächst seit ein paar Tagen sichtbar, bis vor einer Woche hatte sie noch ihre Modelmaße (56 cm Bauchumfang), aber langsam tut sich was.

Bauchumfang heute 63 cm

30. Mai 2018

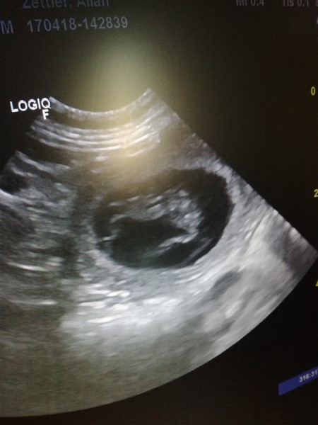
Hurra, wir sind schwanger, wie das Ultraschallbild beweist

Ein kleiner CäsAliah-Astronaut

Unsere Aliah hatte Herrenbesuch

Multichampion Muta Macchiata's Césare kam zu Besuch.

Die beiden verstanden sich auf Anhieb prächtig und hatten zwei schöne entspannte Zusammenkünfte.

Nun hoffen wir Anfang Juli auf schönen Nachwuchs von den Beiden.



 

Nicola Zettler

Friedenstr. 8

89281 Altenstadt



 

Tel. 08337-70 90 32

oder 08337-34 20 100

mobil: 0179-700 15 40

e-mail:

nicola.zettler@cm-dalmatiner.de

 

Mitglied im DVD (DalmatinerVereinDeutschland)

Mitglied des VDH 

angeschlossen der F.C.I 

 

Herzlich Willkommen auf unserer Dalmatinerhomepage. Nehmen Sie sich Zeit und schauen sich in Ruhe unsere Seiten an.

Wir freuen uns natürlich auch über jeden Gästebuch Eintrag.

 

 

Druckversion | Sitemap
© Nicola Zettler

Anrufen

E-Mail

Anfahrt